Nhổ răng khôn cần những thao tác khó và phức tạp được coi là một tiểu phẫu. Việc lựa chọn một địa chỉ nhổ răng khôn ở đâu uy tín và đảm bảo tai quận 1 TP.HCM sẽ có ý nghĩa quyết định đến độ an toàn cũng như giảm đau nhức tối đa, giúp cho quá trình lành thương diễn ra nhanh chóng. Nhổ răng khôn ở đâu tốt tại quận TP.HCM phải đảm bảo các tiêu chí cơ bản như sau.
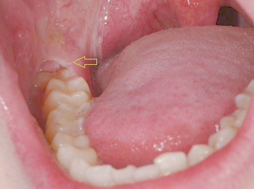
Răng khôn là những răng mọc sau cùng vào tuổi trưởng thành. Khi 28 chiếc thông thường đã mọc đủ trên cung hàm rồi, nếu còn chỗ thì 4 chiếc răng cuối cùng này sẽ được mọc lên ngay thẳng cùng các răng khác. Nếu trên mỗi hàm, các răng đã đủ chỗ thì 2 răng khôn 2 bên sẽ không có chỗ để mọc lên thì nó sẽ bị mọc lệch, mọc ngầm gây nhiều biến chứng.
Các răng mọc lệch,mọc ngầm gây nhồi nhét thức ăn, vùng này lại rất khó vệ sinh làm sạch nên lâu ngày gây nên hiện tượng viêm nhiễm, sưng đỏ, đau quanh thân răng, viêm lợi trùm, cứng hàm, viêm quanh cuống răng. Tình trạng viêm nhiễm kéo dài sẽ phá hủy xương xung quanh răng này và làm xô lệch các răng bên cạnh. Trong các trường hợp nặng có thể gây viêm xương hàm, nhiễm trùng huyết.
Địa chỉ nhổ răng khôn tốt ở đâu tốt tại quận 1 TP.HCM ?
Nhổ răng khôn ở đâu tốt TP.HCM cần đảm bảo tiêu chí quan trọng nhất là độ an toàn. Sự an toàn khi nhổ răng khôn sẽ phụ thuộc chủ yếu vào nha sỹ cũng như trang thiết bị và công nghệ nhổ răng ra sao.
Nhổ răng phải an toàn phải bảo vệ được các dây thần kinh trong xương hàm. Răng khôn thường mọc ngầm sâu xuống dưới, mọc ngược vào trong nên rất gần các ống dây thần kinh. Do đó, trước khi nhổ, nha sỹ sẽ tiến hành chụp phim để kiểm tra mức độ khó, đặc điểm, hình dạng, độ dài và vị trí răng cần nhổ có ảnh hưởng gì đến các răng khác hay không?Bạn sẽ được bác sĩ Peace Dentistry sẽ tư vấn, trao đổi về tình trạng răng khôn, những vấn đề có thể gặp và cần phải làm thế nào.
Mặc dù nhổ răng khôn số 8 chỉ là một ca tiểu phẫu nhỏ, đơn giản nhưng với một trung tâm lớn như Peace Dentistry từng chi tiết, từng khâu nhỏ trong quy trình đều được chú ý và chuẩn bị kỹ lưỡng trước khi điều trị. Tất cả các thiết bị dụng cụ đều được khử trùng, làm sạch theo quy trình chuẩn của Bộ Y Tế theo các tiêu chí an toàn. Nha khoa Peace Dentistry nhổ răng bằng sóng siêu âm an toàn không đau, tất cả các thao tác điều trị, đảm bảo loại bỏ hoàn toàn vi khuẩn, tạo nên sự an toàn khi nhổ răng cho bệnh nhân.
Nhổ răng khôn ở đâu tốt và đảm bảo tại quận 1 TP.HCM?
Tại Nha khoa Peace Dentistry, máy phẫu thuật siêu âm Piezotome,được áp dụng sẽ mang lại hiệu quả nhổ răng nhanh và an toàn nhất. Các mũi siêu âm sắc bén chuyển động linh hoạt với tần số chọn lọc từ 28 – 36 Khz, tác động lên các mô cứng giúp bảo vệ không làm tổn thương các mô mềm. Sự biến điệu tần số mang đến sự êm dịu cho các mô trong suốt quá trình cắt xương, giúp tái tạo tế bào, giảm bớt những cơn đau sau tiểu phẫu.
Sau khi nhổ răng khôn, bạn nên cắn chặt bông gòn để cầm máu trong thời gian 1 giờ sau khi nhổ sẽ khiến máu không đông lại được. Sau khi nhả gòn, máu có thể rỉ thêm trong vài giờ nữa. Bạn hãy tự thay gòn khác cho đến khi máu ngưng chảy hẳn.
Trong vòng 6 giờ sau khi nhổ răng bạn không được súc miệng, nhất là không được súc miệng bằng nước muối dễ ảnh hưởng đến vị trí răng vừa nhổ. Không súc miệng mạnh, không lấy lưỡi hay những vật khác khều đụng vị trí vừa nhổ răng, không ăn nhai phía bên hàm vừa mới nhổ răng và những hành động tương tự. Với những chiếc răng còn lại bạn có thể làm sạch bằng bàn chải hay chỉ nha khoa như thông thường nhưng chú ý không chải những chiếc răng kế cận khoảng trống vừa nhổ răng để tránh đụng vào.
Nên ăn những thức ăn lỏng, mềm, dễ nuốt, tránh các thực phẩm cứng, dai hoặc có tính chất cay, nóng.
Nếu bạn còn bất kỳ băn khoăn nào về Địa chỉ nhổ răng khôn ở đâu tốt và uy tín TP.HCM, xin vui lòng liên hệ với Nha khoa Peace Dentistry theo số Hotline 0943.563.565 chuyên gia hỗ trợ tư vấn chi tiết .
Xem thêm:



0 nhận xét:
Đăng nhận xét